Sulla rivista British Medical Journal Case Reports è stato pubblicato un interessante caso clinico. Ma leggiamo le parole degli Autori.
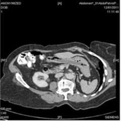
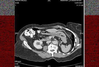
“Una donna di 76 anni è giunta all’osservazione urgente dei medici per perdita di peso e diarrea. Un’indagine sigmoidoscopica ha mostrato una grave diverticolite e una successiva TAC addominale ha messo in evidenza la presenza di un oggetto estraneo di forma allungata nello stomaco, ma nessun’altra anomalia. I sintomi si sono poi risolti spontaneamente. Nel corso della visita la donna si è ricordata di aver ingoiato per sbaglio una penna 25 anni prima. La stava usando per toccare delle placche su una tonsilla quando le è sfuggita e non ha potuto evitare di inghiottirla. E in effetti una gastroscopia ha dimostrato la presenza di una penna con la punta di feltro nello stomaco (cliccare per ingrandire), ma senza evidenze di lesioni gastriche. Il caso è stato poi discusso in un consesso di gastroenterologi che ne hanno consigliato la rimozione nonostante non avesse provocato danni per ben 25 anni al fine di evitare eventuali perforazioni del duodeno. La penna dunque è stata rimossa mediante intervento endoscopico”.
Ma dov’è la notizia? vi starete probabilmente chiedendo. Eccola.
Continuano gli Autori: “Una volta tolta dallo stomaco la penna era perfettamente funzionante”, come si può evincere dalla scritta realizzata con essa mostrata nella foto pubblicata nell’articolo stesso.
Ah le penne di una volta! Provate con una penna di oggi: pochi giorni nello stomaco e già non scrive più!

