Bevande Analcooliche — Latte
Bevande Analcooliche — Latte
-
Brownie light al pistacchio
Eccoci nuovamente al nostro appuntamento settimanale del martedì con la Rubrica “Bellissime Mamme”. Amo tantissimo i brownie, così ricordando la mia torta al... Leggere il seguito
Il 24 marzo 2015 da Una Favola In Tavola
NONE, NONE -
Temperiamo il cioccolato (fondente!)
Pasqua si sta avvicinando. Perché non provare a realizzare da soli le uova di cioccolato? Mi dispiace deludervi, ma no, non basta sciogliere il cioccolato e... Leggere il seguito
Il 24 marzo 2015 da Albertopaciaroni
NONE, NONE, NONE -
Pasticcini con crema di nocciole
Vi presento una ricetta per preparare ottimi pasticcini con una crema di nocciole "light" e impasto di grano saraceno. L'aspetto finale è molto bello e potrete... Leggere il seguito
Il 24 marzo 2015 da Angelica
NONE, NONE -
Nuova curiosa marca eco bio: Le Riche Naturals!
Curiosa di scoprire continue novità, ho testato in questi mesi una marca artigianale molto amata in Inghilterra, ovvero Le Riche Naturals. Leggere il seguito
Il 24 marzo 2015 da Debyvany91
NONE, NONE -
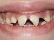
Questo mese parliamo di TRAUMI DENTALI nell’infanzia e adolescenza
Un argomento di grande interesse è sicuramente quello dei traumi dentali nell’infanzia e nell’adolescenza; statisticamente sappiamo che le cause più frequenti d... Leggere il seguito
Il 24 marzo 2015 da Acsylvya
NONE, NONE -
Bambini vegetariani? Crescono Meglio….
Bambini Vegetariani:Crescono Meglio,Sani,Forti E Si Ammalano Addirittura Di Meno. Ecco Perché.. Uno studio della Società Scientifica Nutrizionale... Leggere il seguito
Il 24 marzo 2015 da Lefashionmama
NONE, NONE, NONE -
TestaConNoi: Acqua micellare Cattier
Seconda review che ci hanno inviato le clienti che hanno aderito al programma #TestaConNoi (per maggiori info cliccate sull'hastag per sapere di cosa si tratta). Leggere il seguito
Il 24 marzo 2015 da Giardinodiarianna
NONE, NONE, NONE -
Colomba
COLOMBA Una colomba diversa, giocata sulla sorpresa al taglio, pensata come se fosse un uovo di Pasqua, un modo per divertirsi attraverso citazioni, appartenent... Leggere il seguito
Il 24 marzo 2015 da Elvyra De Rosa
NONE, NONE -
Hot cros buns
Hot cros buns Tipico "regalo" del Venerdì Santo, questi panini crociati vanno serviti caldi a colazione, sono dolci e hanno la caratteristica di essere... Leggere il seguito
Il 24 marzo 2015 da Elvyra De Rosa
NONE, NONE -
Pan brioches di pasqua
PAN BRIOCHES DI PASQUA INGREDIENTI: 600 g di farina forte - 10 g di lievito di birra - 85 g di zucchero - 5 g di sale - 10 g di Marsala secco - 3 uova - 80 di... Leggere il seguito
Il 24 marzo 2015 da Elvyra De Rosa
NONE, NONE -
Fast food mania nella moda
Dopo la collezione Moschino by Jeremy Schott di questo inverno, interamente ispirata al mondo dei fast food e di Mc Donald's, al punto che la stessa M di... Leggere il seguito
Il 24 marzo 2015 da Anna Pernice
NONE, NONE -
Kiehl’s Detergente Viso alla Calendula
Tempo fa avevo recensito qui il tonico Kiehl’s alla calendula. Da non grandissima amante del tonico, ne ero rimasta positivamente colpita e mi era davvero... Leggere il seguito
Il 24 marzo 2015 da Bellezza4you
NONE, NONE -
Crema alla Vaniglia con cuore di Nutella
La verità è che io amo fare i dolci! E' per questo che, alla fine, mi ritrovo sempre più volentieri a preparare merende e colazioni, invece che pranzi e cene. Leggere il seguito
Il 24 marzo 2015 da Moltiplicatomamma
NONE, NONE -
|⇨ Filetti di merluzzo alla panna
La panna o crema di latte è la parte grassa del latte, ottenuta dal latte fresco per affioramento spontaneo a riposo oppure, oggi per velocizzare ed... Leggere il seguito
Il 24 marzo 2015 da Piac3r
NONE, NONE -
|⇨ Omelette al granchio
Le omelette sono un piatto a base di uova rapidamente cotte con burro e olio in una padella. È di uso comune piegare l’omelette intorno ad un ripieno che... Leggere il seguito
Il 24 marzo 2015 da Piac3r
NONE, NONE -
Girelle speck e mozzarella croccanti e profumate
Uno sfizio, un antipasto, un finger food - le girelle speck e mozzarella sono tutto questo - a seconda dell'occasione in cui vuoi servirle. Siamo alle porte di... Leggere il seguito
Il 23 marzo 2015 da Simplylalla
NONE, NONE -
I cantuccini o cantucci sono uno dei maggiori vanti dolciari della Toscana.
Ingredienti: 1 kg di farina 250 g di burro 1,050 kg di zucchero 800 g di mandorle 7 uova 1 l di latte scorza di 1 arancia scorza di 1 limone 12 g di sale... Leggere il seguito
Il 23 marzo 2015 da Marisa
NONE, NONE -
Biscotti vegani al cacao con cuore alla crema di vaniglia.
Ingredienti: per 6 persone Ingredienti biscotti: 250 farina 50 gr di cacao amaro 120 olio mais o di girasole deodorato 90 zucchero mezzo bicchiere di acqua... Leggere il seguito
Il 23 marzo 2015 da Marisa
NONE, NONE -
La torrija, solo per i piú coraggiosi
Una delle cose che proprio non capisco della vita in Spagna è la torrija, un dolce tipico pasquale che non è bello, non è buono e non è profumato. Torrija mia,... Leggere il seguito
Il 23 marzo 2015 da Chechimadrid
NONE, NONE, NONE -
Biscotti al Cioccolato senza Burro
I biscotti al cioccolato senza burro sono dei morbidi biscotti preparati con farina, zucchero, uova, cioccolato, olio, senza latte e senza burro. Leggere il seguito
Il 23 marzo 2015 da Xxx.it
NONE, NONE, NONE, NONE, NONE -
Muffin speziati alle carote
Condividi Fate imburrare lo stampo dei muffin con un po’ di burro. Si divertiranno molto a impiastricciarsi le mani Una ricettina furba furba, leggera,... Leggere il seguito
Il 23 marzo 2015 da Modenabimbi
NONE, NONE, NONE, NONE -
#Italiacañí
Cañí è una parola nel gergo caló dei gitani, che ha poi assunto il significato esteso di tipico, folclorico. Quindi l'hashtag Italiacañí verrebbe a significare... Leggere il seguito
Il 23 marzo 2015 da Molly
NONE, NONE -
Pensosamente noioso
la volpe fugge per la noiaLetto a fasi alterne: la prima con attenzione e un filo di angoscia, influenzata probabilmente dai tragici fatti di Charlie Hebdo;... Leggere il seguito
Il 23 marzo 2015 da Annalife
NONE, NONE -
Pan Brioche
Buon Lunedì AmiciLe giornate sono incerte, alcuni giorni sono belli, primaverili con un sole bellissimo, ed altri piove, fa freddo. Ancora non è primavera piena. Leggere il seguito
Il 23 marzo 2015 da Cucinamonamour1
NONE, NONE -
Biscotti alle mandorle.
Ingredienti: per 6 persone Farina 250 g Farina di mandorle 100 g Burro 100 g Zucchero a velo 75 g Tuorli 2 Albume 1 Rum 1 cucchiaio Limone non trattato la scorz... Leggere il seguito
Il 23 marzo 2015 da Hugor
NONE, NONE -
Cioccolatini al biscotto e nocciola.
Ingredienti: per 6 persone Per il biscotto morbido: Uova intere 500 g Zucchero 250 g Farina 200 g Cacao amaro 50 g Bacca di vaniglia 1 Per il pralinato alle... Leggere il seguito
Il 23 marzo 2015 da Hugor
NONE, NONE -
Sephora Spring Summer 2015 PressDay
È tempo di raccontarvi di tutte le novità viste al Sephora Spring Summer 2015 PressDay, evento a cui ho avuto l’onore di essere invitata. Leggere il seguito
Il 23 marzo 2015 da Kenderasia
NONE, NONE -
MERENDINE SENZA OLIO DI PALMA – Ecco la lista
DA GIUGNO 2014 L’ESERCITO DI NEMICI DELL’ OLIO DI PALMA HA VISTO AUMENTARE I SUOI ADEPTI. E così, se prima era Il Fatto Alimentare a sabotare la sua... Leggere il seguito
Il 23 marzo 2015 da Ilfattaccio
NONE, NONE -
EMMEDICIOTTO - Kit 22 Luxury Argan Shampoo, Maschera e Olio -
Emmediciotto è un brand tutto italiano specializzato nella produzione e distribuzione di prodotti per capelli professionali e destinati ai saloni di bellezza. Leggere il seguito
Il 23 marzo 2015 da Beautylandiabeauty
NONE, NONE -
Con e Senza Bimby, Torta al Cocco
Senza il Bimby, Torta al Cocco Ingredienti: 180 gr farina 00 (io ho utilizzato la Farina Tipo "0" Biologica di grano tenero di I Colli del Bio), 70 gr... Leggere il seguito
Il 23 marzo 2015 da Mlk16
NONE, NONE -
Lui... il Re indiscusso!!!
CANNOLO (dosi valide per circa 30 cialde) Ingredienti: 250 gr di farina "00"; 25 gr di strutto; 25 gr di zucchero; un gr di sale; 5 gr di cacao amaro; 75 gr... Leggere il seguito
Il 23 marzo 2015 da Debora
NONE, NONE -
I Canederli Vegetariani
Di recente sono stata a Milano (che ve lo ri-dico non mi piace per niente ma una volta all’anno almeno ci devo andare e non so perchè! Leggere il seguito
Il 23 marzo 2015 da Fairyskull
NONE, NONE -
Brownies al Tiramisù
Altro lunedì dolcissimo, e non a caso è il primo lunedì di questa primavera! E come festeggiarlo al meglio, se non con un post cioccolatoso? Leggere il seguito
Il 23 marzo 2015 da Pixel3v
NONE, NONE -
Quiche primaverile agli agretti per l’#MTChallenge46
Anche questo mese l’MTChallenge ci ha regalato una sfida intrigante, appetitosa e stimolante. Una sfida che questa volta ci ha fatto misurare con la pasta brisé... Leggere il seguito
Il 23 marzo 2015 da Forchettinagiramondo
NONE, NONE -
TestaConNoi: Olio solido detrgente viso Cocco e Vaniglia
Iniziamo a pubblicare le review che ci hanno inviato le clienti che hanno aderito al programma #TestaConNoi (per maggiori info cliccate sull'ashtag per sapere d... Leggere il seguito
Il 23 marzo 2015 da Giardinodiarianna
NONE, NONE, NONE -
Con e Senza Bimby, Torta in Tazza con Cioccolato e Baileys al Microonde
Senza Bimby, Torta in Tazza con Cioccolato e Baileys al Microonde Ingredienti per una tazza: Io ho moltiplicato per 5 2 cucchiai di latte, 3 cucchiai di olio... Leggere il seguito
Il 23 marzo 2015 da Mlk16
NONE, NONE -
Cracker di segale, kefir e senape rustica | Rye crackers with kefir and rustic...
Da quando in casa abbiamo scoperto kefir non lo facciamo mancare mai.Il kefir è una bevanda rinfrescante originaria del Caucaso, ottenuta dalla fermentazione de... Leggere il seguito
Il 23 marzo 2015 da Laangie
NONE, NONE, NONE -
Menù di Pasqua VEGANO – Dolce
Finiamo in bellezza con un fantastico DOLCE, totalmente VEGANO consigliato da Desireè del progetto Agripunk. E con la storica citazione di un grande della... Leggere il seguito
Il 23 marzo 2015 da Cuccioli
NONE -
Da Dove Vengono i Prodotti che Comprate al Discount
Fino a pochi anni fa, fare la spesa significava tuffarsi nel piccolo mondo dei negozi di vicinato, dall’ortofrutta sotto casa al fornaio all’angolo. Leggere il seguito
Il 23 marzo 2015 da Nikirocco
NONE, NONE -
Omaggio alla primavera...muffin alle more
Ma voi l'avete vista la primavera? Quest'anno in Sicilia non fa altro che piovere...non si ferma più, mentre gli anni passati quasi non cadeva una goccia. Leggere il seguito
Il 23 marzo 2015 da Paola_yeah
NONE -
Da EMA nuove indicazioni sull'uso della Codeina nei bambini.
Da tempo vi abbiamo parlato delle motivazioni per le quali Tachidol sciroppo e Lonarid supposte bambini sono stati ritirati dal mercato, a confermare quello... Leggere il seguito
Il 23 marzo 2015 da Farmacia Serra Genova
NONE, NONE, NONE, NONE -
Menù di Pasqua VEGANO – Antipasto
Ogni anno 2 milioni di agnellini e capretti vengono allontanati dalla loro madre, dopo nemmeno in mese di vita. Per diventare il pranzo di Pasqua, seguendo una... Leggere il seguito
Il 23 marzo 2015 da Cuccioli
NONE -
Torta cocco e cacao senza burro e uova
Cocco e cioccolato... a mio avviso una combinazione perfetta! Non tutti amano il cocco , ma per chi lo gradisce questa torta sarà sicuramente molto gradita! Leggere il seguito
Il 23 marzo 2015 da Mammarum
NONE -
3 “supercibi” per migliorare l’umore e incrementare l’energia (+Ricetta)
Spesso la stanchezza colpisce oltre al fisico anche il nostro umore rendendoci infelici e demotivati. Ricorrendo a caffè ed energizzanti poi non facciamo che... Leggere il seguito
Il 23 marzo 2015 da George Luis Sterie
NONE -
Bye Bye Dublin, è stato un piacere
Si, come si capisce dal titolo, è arrivato il momento di dire Bye Bye a Dublino. Era una cosa che sapevamo, era inevitabile, mai avevamo visto in Dublino la... Leggere il seguito
Il 23 marzo 2015 da Followingyourpassion
NONE -
Torta diplomatica
Ci sono le mode.. e ci sono i grandi classici, intramontabili. Il diplomatico è un classicissimo, onnipresente nel cabaret di mignon di paste della domenica. Leggere il seguito
Il 23 marzo 2015 da Sacapoche
NONE, NONE -
conchiglioni ripieni di zucca, salsiccia e finocchio
...essì è entrata da poco la primavera...ma piove...ed io propongo ancora le ultime ricette che ho preparato con la magica zucca nelle ultime settimane...zucca... Leggere il seguito
Il 23 marzo 2015 da Sississima
NONE, NONE -
Salumificio piovesan val+ori del piave
Ogni regione d'Italia ha i suoi piccoli tesori culinari da scoprire ... tesori legati a tradizioni antiche o di famiglia . E propria una splendida realtà è... Leggere il seguito
Il 23 marzo 2015 da Titinciccio
NONE, NONE -
zeppole dolci e fritte
Ingredienti: farina 00, 1kg patate lesse, 4 uova, 4 burro, 100gr zucchero, 120gr sale, una presa lievito di birra, 2 cubetti sciolti in un po' di latte tepido... Leggere il seguito
Il 23 marzo 2015 da Elvyra De Rosa
NONE, NONE -
Pizzette di polenta taragna al pesto di... : dal più audace al più delicato,...
Se non sono pazze, non le vogliamo.Spesso, quando condivido su Instagram le mie avventure, accompagno le immagini con questo hashtag, perché, ne sono... Leggere il seguito
Il 23 marzo 2015 da La Cuocherellona
NONE -
torta pan di stelle
Ingredienti (stampo da 25 cm): 550 gr di biscotti pan di stelle 500 gr di panna fresca 390 gr di nutella 120 gr di latte 50 gr di zucchero a velo 1 tazzina di... Leggere il seguito
Il 23 marzo 2015 da Elvyra De Rosa
NONE, NONE -
panini napoletani
Ingredienti per 10 panini napoletani: 400 gr di farina 00 100 ml di acqua 100 ml di latte 12 gr di lievito di birra 3 cucchiai di strutto 1 cucchiaino di sale 2... Leggere il seguito
Il 23 marzo 2015 da Elvyra De Rosa
NONE, NONE -
brioche-ripiena
Ingredienti per 4 persone: 550 gr di farina 00 250 gr di latte 50 gr di olio evo 20 gr di lievito di birra 1 uovo 10 gr di sale 10 gr di zucchero 250 gr di... Leggere il seguito
Il 23 marzo 2015 da Elvyra De Rosa
NONE, NONE -
Finto mont-blanc di castagne, cioccolato e crème fraîche
Avete voglia di un dolce strepitoso per coccolarvi un po'? Aggiungete alla fine un po' di cioccolato fuso, meringhe e fatemi sapere il risultato, io potrei... Leggere il seguito
Il 23 marzo 2015 da Sorelleinpentola
NONE, NONE -
Quadrotti cioco-caffè...la torta di compleanno che offrirò oggi al lavoro...
Come da tradizione, porto sempre un dolce per festeggiare il mio compleanno al lavoro e quest'anno porterò questi quadrotti al caffè con gocce di cioccolato. Leggere il seguito
Il 23 marzo 2015 da Le Ricette Di Valentina
NONE, NONE -
Tortine salate di batate al rosmarino con ripieno di ricotta, speck e nocciole
...e siamo ritornati ai titoli "da enfisema polmonare".Ogni tanto ci casco, certo è che dare un nome a queste tortine dai colori sgargianti e dal gusto... Leggere il seguito
Il 23 marzo 2015 da Zibaldoneculinario
NONE, NONE -
|⇨ Bignè con spinaci
Siamo giunti al consueto appuntamento con la nostra rubrica settimanale dedicata alla cucina al microonde ed apriamo questo nostro appuntamento settimanale... Leggere il seguito
Il 23 marzo 2015 da Piac3r
NONE, NONE -
Panbrioche alle mandorle / Brioche bread with almonds
Ingredienti: 600 gr di farina 00 170 gr di burro 50 gr di di latte 100 gr di zucchero semolato 3 uova 120 gr di mandorle pelate 15 gr di lievito di birra sale... Leggere il seguito
Il 22 marzo 2015 da Francy84b
NONE, NONE -
Ciambelle al sesamo con curcuma e aglio – Pensando alla merenda di Pasquetta -
Ormai manca poco! Tra poco arriverà il fine settimana della Pasqua e con lei la merenda fuori porta tipica della Pasquetta. Io adoro soprattutto la Pasquetta... Leggere il seguito
Il 22 marzo 2015 da Contemporaneo Food
NONE, NONE -
Colazione: Ineffabile e variegato rito mattutino dei popoli. Casabella-Lago...
Colazione:Ineffabile e variegatorito mattutino, dal mondoCasabella - Lago Maggiore - B e Baccontenta tutti Sostiene Carlo Petrini, gastronomo e scrittore... Leggere il seguito
Il 22 marzo 2015 da Emercatali
NONE -
Bánh sô cô la và cà phê - due versioni delle tartine al cioccolato e caffè del...
Siamo ormai giunti agli sgoccioli per questa tappa in Vietnam dell'Abbecedario culinario mondiale.Mi sono guardata avidamente tutti i video sullo street food ch... Leggere il seguito
Il 22 marzo 2015 da Resyrm
NONE -
Gnocchi !
Gnocchi di giovedì? Ho cercato una spiegazione convincente ma non ho trovato niente. Pertanto continuerò a prepararli quando posso perchè lo gnocco, si sa, port... Leggere il seguito
Il 22 marzo 2015 da Duearchitettieunacucina
NONE, NONE, NONE, NONE -
Torte in Fiera a Sud con Gusto, Fiera delle eccellenze agroalimentari del...
Ciao a tutti!Ad Ariano Irpino, presso il centro Fiere della Campania è in corso la fiera Sud con Gusto, l’evento fieristico di rilevanza nazionale dedicato... Leggere il seguito
Il 22 marzo 2015 da Mifesta
NONE, NONE -
Il Licoli di Bonci . Figo più di Johnny Depp!!
Lui è Johnny. Johnny Depp. Cosi ribattezzato dalle mie figlie. Perchè bravo, bello e soprattutto bono. Johnny è stata la mia ultima spiaggia, il mio ultimo... Leggere il seguito
Il 22 marzo 2015 da Saramartina21
NONE, NONE -
Rosette Dolci di Ricotta
Benvenuta Primavera!Ci hai illusi per un momento e ti sei nascosta subito dopo. Ancora vento, nuvoloni grigi, aria umida. Affacciati ai nostri davanzali, noi... Leggere il seguito
Il 22 marzo 2015 da Ideeinpasta
NONE, NONE -
Mousse al caffè
Qualche giorno fa ho pubblicato la foto di questa torta su facebook e su instagram e ha avuto un enorme successo! Grazie a tutti voi che mi seguite e mi... Leggere il seguito
Il 22 marzo 2015 da Ilpandizenzero
NONE, NONE -
Panna cotta Primavera
Per la prima domenica di primavera un dolce della tradizione ma...fiorito Ingredienti per 8 500 ml panna liquida 400 ml latte 80g di zucchero 3 fogli di gelatin... Leggere il seguito
Il 22 marzo 2015 da Vadoincucina
NONE, NONE -
Tra Pierrefonds e Montalto Dora, un viaggio nel Medioevo immaginato dai Maestri...
Articolo scritto per Il Quotidiano Piemontese Tra mito e storia, i castelli restaurati dagli architetti Le Duc e d’Andrade in Francia e in Italia testimoniano i... Leggere il seguito
Il 22 marzo 2015 da Jackfide
NONE, NONE -
Torta al cacao con doppia farcitura e decoro al cioccolato plastico
Precedentemente avevo pubblicato il cioccolato plastico e vi avevo anticipato una dolce sorpresa... Eccola qua!!! Una torta davvero squisita, purtroppo finita i... Leggere il seguito
Il 22 marzo 2015 da Worrie
NONE, NONE -
Il Limone: più Farmaco che Alimento
Sono molte le persone che non sopportano il sapore del limone, che nessuno lo nega è forte e aspro, ma è tanto ultile alla nostra salute che il suo sapore... Leggere il seguito
Il 22 marzo 2015 da Lifarnur
-
Trentino Ski Sunrise: l'emozione dell'alba sulle dolomiti
Ammirare l’alba sulle dolomiti è un’esperienza che almeno una volta nella vita va vissuta. Se poi si tratta del periodo invernale e con una recente nevicata... Leggere il seguito
Il 22 marzo 2015 da Pizzo76
NONE -
Torta soffice cocco ed ananas
La torta soffice cocco ed ananas è una torta leggera e soffice, umida al punto giusto, perfetta per colazione o merenda. Qualche pomeriggio fa avevo voglia di... Leggere il seguito
Il 22 marzo 2015 da Mollichedizucchero
NONE, NONE -
|⇨ Focaccia di patate
La focaccia, anche detta schiacciata, è un impasto di farina, acqua, lievito e sale, simile a quello del pane, cotto al forno o alla brace. Leggere il seguito
Il 22 marzo 2015 da Piac3r
NONE, NONE -
Millefoglie ai frutti di bosco.
Ingredienti: per 4 persone 2 dischi di pasta sfoglia 80 g di zucchero a velo per la crema: 6 tuorli 500 g di latte 1 stecca di vaniglia 125 g di zucchero... Leggere il seguito
Il 21 marzo 2015 da Marisa
NONE, NONE -
Polpette di manioca vegan (Bolinho de mandioca vegano)
Etiche perché sono vegan, deliziose perché sono tipiche di Minas Gerais e specialiper farle con il mio ingredienti preferito, il quale lo adoro utilizzare e... Leggere il seguito
Il 21 marzo 2015 da Chrisartesalgados
NONE, NONE -
vegan tartufi o piccole bombe al cioccolato... solo per super golosi
E così rieccomi presa nel vortice dei dolci vegano- cudisti... inutile, più ne preparo. più ne assaggio e più penso che siano buonissimi. Leggere il seguito
Il 21 marzo 2015 da Rombobombo
NONE, NONE -
Ignazio Apolloni ░ Piggy, il piccolo messicano di Los Angeles
photo enzo monti │© apollonglosse per “uh magazine” 2014PIGGY, IL PICCOLO MESSICANO DI LOS ANGELES È da stamane che gioco ai birilli in un parco per bimbi... Leggere il seguito
Il 21 marzo 2015 da Vsgaudio
NONE, NONE -
Il labirinto di lavanda
Impazzendo dietro al contest sull’impiattamento mi sono imbattuta in una fotografia illuminante…dello chef Moreno Cedroni un mojito alla lavanda sono rimasta... Leggere il seguito
Il 21 marzo 2015 da Coccolatime
NONE, NONE -
Panbrioche con gocce di cioccolato e uva passa
ENGLISH ESPAÑOL Oltre ad essere sofficissimo e’ dolce al punto giusto e profumato. Ottimo per la colazione, ma vi assicuro’ che anche con il caffe’ del... Leggere il seguito
Il 21 marzo 2015 da Mariantonietta
NONE, NONE -
Veg Cafè: il primo bar vegano apre a Napoli
Cari amici di Napoli da Vivere, anche quest’oggi abbiamo in serbo per voi un’interessantissima segnalazione; si tratta di una vera e propria novità, un locale... Leggere il seguito
Il 21 marzo 2015 da Napolidavivere
NONE, NONE -
#Garnier Ultra Dolce nuova linea per i capelli #OlivaMitica all’olio d’oliva
Ultra Dolce di Garnier, ovvero la linea per capelli che più amo tra quelle presenti nei supermercati italiani. Non riesco a ricordare un tipo di shampoo o... Leggere il seguito
Il 21 marzo 2015 da Bellezza4you
NONE, NONE -
Profiteroles al cioccolato
Dosi per 4 personeIngredienti dodici bignè, piccoli acquistati già pronti e vuoti dal pasticcere Per la crema pasticcera: quattro nova, 60 g. di farina 40 g.... Leggere il seguito
Il 21 marzo 2015 da Supremo
NONE, NONE -
Brioche farcita con gelato di crema.
Ingredienti: Per la brioche: Farina 500 g Latte 200 g Zucchero 150 g Tuorli d'uovo 120 g Burro 100 g Lievito di birra 15 g Sale q.b. Per pennellare: Uovo q.b.... Leggere il seguito
Il 21 marzo 2015 da Hugor
NONE, NONE -
#INGORDO - Risotto cime di rapa, Burrata e tartufo nero pregiato
Risotto cime di rapa, Burrata e tartufo nero pregiatoBuongiorno Ingordi! Eccoci con l'ultima ricetta (leggi anche Filetto Glassato e Chitarra con salsa... Leggere il seguito
Il 21 marzo 2015 da Becomingtrendy
NONE, NONE -
Plumcake integrale miele banana e nocciole
E senza che me ne accorgessi é arrivato il primo giorno di primavera...un nuovo inizio..con nuovi progetti e nuove speranze. Il mio obiettivo é quello di... Leggere il seguito
Il 21 marzo 2015 da Nicolescevaroli
NONE, NONE -
lasagne di carne
... il ricordo di quel negozio è vivo nella mia memoria anche se sono passati un bel po' di anni...Abitavamo a Milano e quasi all'angolo di via Tadino c'era un... Leggere il seguito
Il 21 marzo 2015 da Monica De Martini
NONE, NONE -
Lotta di glasse
Lo so, sto diventando ripetitivo. Ma le avventure che si vivono al Convitto non ti capitano in nessun altro luogo al mondo. Neanche alla Pergola (ciao... Leggere il seguito
Il 20 marzo 2015 da Scriptomanti
NONE, NONE -
torta amaretti con crema
Ingredienti per preparare la Pasta frolla:Farina di grano tenero tipo 00: 200 grAmaretti tritati e ridotti in farina: 50 grZucchero semolato: 90 grBurro: 150... Leggere il seguito
Il 20 marzo 2015 da Elvyra De Rosa
NONE, NONE -
torta biscotto
Ingredienti per preparare la Torta di biscotti con Nutella, panna e mascarpone:Biscotti Oro Saiwa: 400 grMascarpone: 250 grPanna vegetale Hoplà da montare: 200... Leggere il seguito
Il 20 marzo 2015 da Elvyra De Rosa
NONE, NONE -
Girelle di pasta sfoglia
Ingredienti per 12 girelle: 100gr di prosciutto cotto 4 fettine di provola affumicata mezzo rotolo di pasta sfoglia latte q.b. Preparazione : Stendete la pasta... Leggere il seguito
Il 20 marzo 2015 da Elvyra De Rosa
NONE, NONE -
Fagottini alla nutella
Ingredienti per 36 pezzi circa . 125 gr di burro . 125 gr di zucchero . 1 uovo . buccia e succo di un limone . 1 pizzico di sale . 250 gr di farina Per il... Leggere il seguito
Il 20 marzo 2015 da Elvyra De Rosa
NONE, NONE -
Crostata di fragoloni
Ingredienti per la pasta frolla (per una tortiera di 28 cm di diametro) Farina tipo 00 250 gr Burro freddo di frigo 125 gr Zucchero a velo 100 gr Uova tuorli 2... Leggere il seguito
Il 20 marzo 2015 da Elvyra De Rosa
NONE, NONE -
Dolce pasquale calabrese: "Cuzzupa dolce"...
Manca ancora un po'alla Pasqua... ma qui in Calabria abbiamo già iniziato a sfornare “le cuzzupe”: dolce dalle forme diverse ma dal sapore e dal profumo... Leggere il seguito
Il 20 marzo 2015 da Aglaia79
NONE, NONE -
Amedeo Modigliani - seconda parte
Sono già passati due anni da che Modigliani é sbarcato alla Gare de Lyon Ammira enormemente Picasso e darebbe non so cosa per sentirsi alla sua altezza ma il su... Leggere il seguito
Il 20 marzo 2015 da Dede Leoncedis
NONE, NONE -
Profiteroles
Profiteroles Ingredienti per 40 bignè: 100 gr di burro 250 ml di acqua 150 gr di farina 00 1 pizzico di sale 1 cucchiaino di zucchero 4 uova Ingredienti... Leggere il seguito
Il 20 marzo 2015 da Elvyra De Rosa
NONE, NONE -
Every Month Cleansing Cream, Etude House
Pro: il profumo ed il packaging.Contro: cos'è? Un latte detergente che non strucca? Prezzo: non saprei, è un regalo.Dove: eBay.Ciao e benvenuta alla rubrica "no... Leggere il seguito
Il 20 marzo 2015 da Haze
NONE, NONE -
Budino di riso
INGREDIENTI 200 gr. di riso, 6 dl circa di latte,50 gr. di zucchero, 60 gr. di burro, due uova, una manciata di amaretti (sette o otto) due cucchiaiate di uvett... Leggere il seguito
Il 20 marzo 2015 da Supremo
NONE, NONE -
Le Zeppole di San Giuseppe
Qualche tempo fa pubblicai la ricetta delle ZEPPOLE DI SAN GIUSEPPE assieme alla sua storia e ad una poesia. Quest'anno le zeppole le ha fatte mia sorella ed... Leggere il seguito
Il 20 marzo 2015 da Chef Pepì
NONE, NONE -
Bignè di San Giuseppe.
Ingredienti: Per i bigné fritti:80 g di farina 00 100 g di acqua 20 g di burro 3 uova medie 1 g di lievito olio di arachide per friggere q.b. Leggere il seguito
Il 20 marzo 2015 da Marisa
NONE, NONE -
Il pan d’arancio
Amo i dolci dai profumi intensi, specie se agrumati. Amo i dolci sofficissimi. Amo i dolci che prepari in una manciata di minuti. Leggere il seguito
Il 20 marzo 2015 da Unsoffiodipolveredicannella
NONE, NONE